Aile Hekimliği

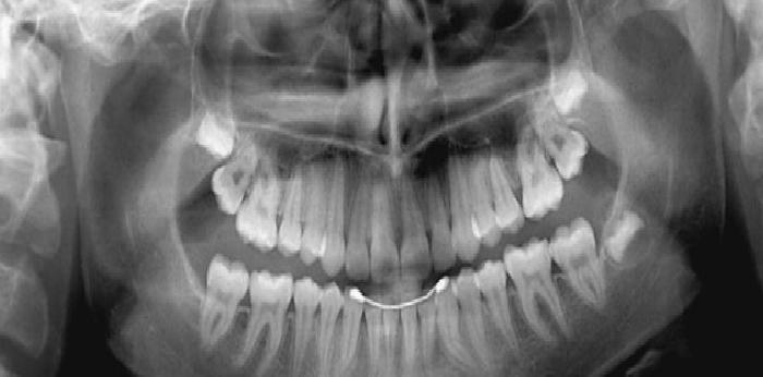
Panaromik Görüntüleme

Panoramik röntgen, çenelerin, tüm dişlerin, çene ve dişlerdeki bir çok rahatsızlığın tek bir filmde
görülmesini sağlayan röntgen filmleridir.

Neden ihtiyaç duyulur?

Panoramik röntgen, çene ve dişlerde gözle görülemeyen çürük, kist ve tümör gibi oluşumların teşhisinde
gereklidir.
Tedavi planlamasının daha hızlı ve eksiksiz biçimde yapılmasına yardımcı röntgen filmleridir.
Çene ve dişlerle ilgili operasyonlardan önce hekimin görmesi gereken bir röntgendir. Çünkü bu
röntgenler tedavi uygulanacak alanı geniş bir şekilde gösterir ve operasyonun başarısını arttırır.

Panaromik röntgenin avantajları nelerdir?

Panoramik röntgen bir çok diş çürüğü, çenelerdeki kistik ve tümoral oluşumlarla ilgili erken teşhis olanağı
sağlar.
Tüm dişlerin görüntüsü tek bir röntgen üzerinde görülebilir.
Tüm dişlerin görüntüsünün alınmasıyla erken teşhis ve tedavi olanağı sağlar. Bu sayede hem zamandan
hem de tedavi maliyetlerinden tasarruf sağlanır.
Panoramik röntgen tüm dişlerin ve çene kemiğinin daha az ışın alarak birlikte görüntülendiği bir
tomografik röntgen çeşididir.
Dijital sitemin kullanılması görüntü kalitesini artırmakta ve kişinin aldığı radyasyon miktarını belirgin
şekilde azaltmaktadır.

Başa dön tuşu